Back to Home
Before & After Gallery
See the transformative results of our expert dermatological care.
Patient Results
Explore our gallery of real patient transformations.


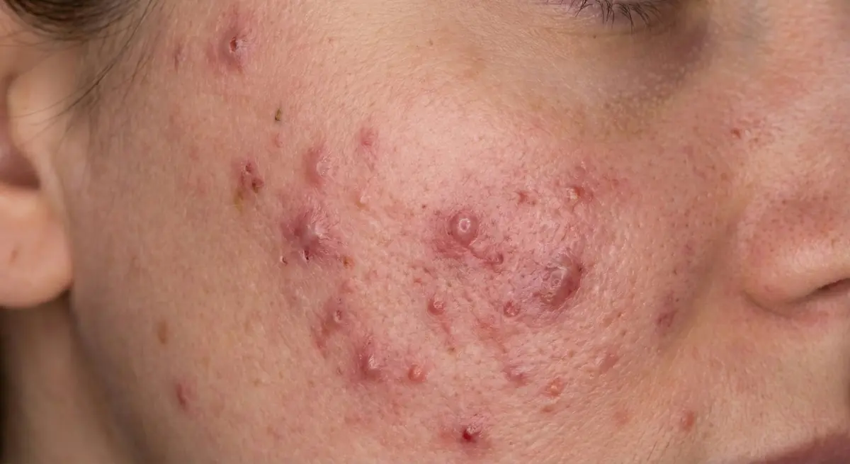
Severe Cystic Acne
Successful treatment of inflammatory acne using a combination of oral medication and chemical peels.
12 weeks


Post-Inflammatory Hyperpigmentation
Clearing of dark spots following acne breakouts.
8 weeks


Nail Fungal Infection
Complete restoration of nail health after antifungal therapy.
6 months


Chronic Hand Eczema
Management of severe hand eczema and restoration of skin barrier.
4 weeks


Acne Scar Resurfacing
CO2 fractional laser treatment for deep acne scars.
3 sessions


Hair Restoration
PRP therapy for hair thinning and loss.
4 months


Melasma Treatment
Targeted therapy for hormonal pigmentation.
8 weeks


Botox for Dynamic Wrinkles
Reduction of forehead lines and crow's feet.
2 weeks


Acne Scar Revision
Combination of subcision and laser for deep scars.
4 months